当院のマウスピース矯正治療
mouthpiece orthodontics
きれいな口元であなたの笑顔はもっと素敵に
アライナーと呼ばれる透明のマウスピース型の矯正器具を歯に装着することによって歯並びを治療する方法です。ひとりひとりの歯型に合わせたアライナーを作成し、治療の進行具合に合わせてアライナーを交換しながら段階的に歯並びを矯正していきます。
インビザライン公認のプラチナドクター
世界でNo.1のシェアを誇る、マウスピース型矯正治療「インビザライン・システム」を提供するアライン・テクノロジー社から治療実績が認められ、プラチナドクターに認定されています。
これからも患者様が安心して治療を受けていただけるよう、満足していただけるように尽力いたします。
症例のご紹介
Case Introduction
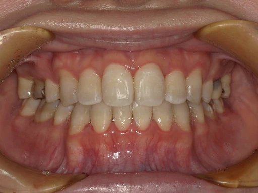
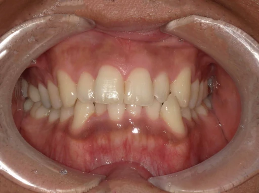
症例1
治療前は歯の重なりやガタつきが気になる状態でしたが、インビザライン治療により、歯列が整い、口元の印象が大きく改善しました。
金属の装置を使用しないため、治療中も自然な見た目を保てる点が、インビザラインの大きなメリットです。
「矯正していることを周囲に気づかれたくない」という方にも選ばれています。
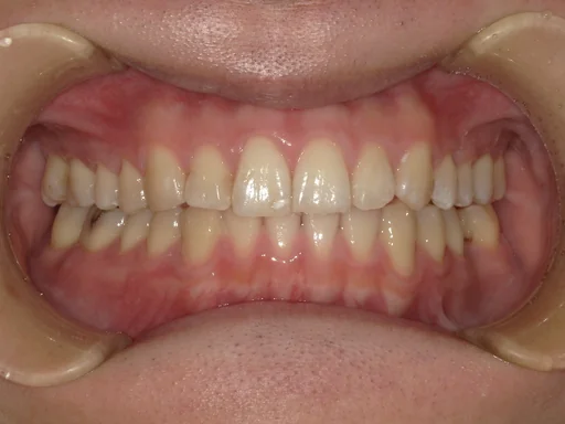
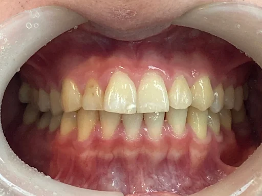
症例2
こちらは、インビザラインによる矯正治療の症例です。
治療前は歯並びの乱れが見られましたが、マウスピースを段階的に交換しながら歯を動かすことで、見た目だけでなく噛み合わせも改善しました。
インビザラインは、目立ちにくく取り外しが可能なため、日常生活への影響を抑えながら治療を進められるのが特長です。
キャンペーン実施中
campaign
※詳しくはご予約・お問合せフォーム、またはお電話( 06-6567-8219 )でお問合せください。
デンタルモニタリングのご紹介
Dental Monitoring
リモートでマウスピース矯正治療が受けられるデンタルモニタリングを動画でご紹介
お得なキャンペーン実施中
お問合せ当院のマウスピース矯正の特徴
features
無料カウンセリング
当院では矯正治療など自費診療のカウンセリングは無料で行っております。まずはお気軽にご相談ください。
デジタル技術の導入
当院では型取りに3D光学スキャナーiTeroを導入。わずか5分ほどで高精度な歯列、口腔内の情報を得ることができるため、患者様のご負担を減らすことができ、治療の質も向上します。また、治療完了時のイメージをモニターで確認していただくことが可能です。
矯正歯科治療を専門とする
歯科医師が対応
当院では矯正歯科治療を専門とする歯科医師が在籍しております。
マウスピース矯正だけではなく、ワイヤー矯正にも長けたスペシャリストが包括的に診断し最適な治療プランをご提案いたします。
3Dシミュレーション
3D simulation
当院では矯正専門医が監修のもと治療計画を立案しております。
立体的な画像で歯が動いていく様子を確認することができ、患者様に治療の過程と治療完了のイメージを確認していただくことで安心して治療を受けていただけます。
治療対象となる咬合異常
cases
叢生(乱ぐい歯)
顎のサイズに対して歯が並ぶ十分なスペースがなく、重なってデコボコになっている状態。
交叉咬合
口を閉じた際に、上の歯のいくつかが下の歯の内側にある状態。
下顎前突(受け口)
上の前歯より下の前歯が前に出てしまっている状態。
空隙歯列(すきっ歯)
歯と歯の間に大きな隙間がある状態。
過蓋咬合
通常の咬み合わせよりも前歯が深く咬み込んでいる状態。
開咬
前歯だけが咬み合うことができない状態。
前歯の叢生
前歯だけが重なってデコボコになっている状態。
お子さまの歯
矯正治療が必要な歯並びである状態。
マウスピース矯正治療の流れ
flow
お問合せ
メールフォーム、お電話どちらでもOK。2営業日以内にお返事いたします。通常1~2週間程度でご予約いただけます。
初回カウンセリング
まずはお話をお聞かせください。気になる点がありましたら、遠慮なくご質問ください。専門家の立場からアドバイスさせていただき、治療方針、ゴールを決めていきましょう。カウンセリングは通常30分~45分程度で完了いたします。
精密検査・スキャン(iTero)
当院では3D光学スキャナー「iTero」を導入しています。従来の印象材を使用した方法とは違い、短時間で精密な歯の型取りが可能です。患者様の負担が軽減されるだけではなく、治療の質も向上させることができます。
クリンチェック(治療計画の動画)の確認
クリンチェックとは、3Dシミュレーションの治療計画です。患者様一人ひとりに適した治療計画を作成し、わかりやすい3Dの画像で確認していただきます。
治療スタート
治療計画にご納得いただければ、アライナーを作成します。約3週間で医院に届きます。使用方法や、メンテナンスの仕方、注意点などご説明いたします。また、アタッチメントの設置や、IPR(歯と歯の間にすき間をつくること)を行ないます。
経過観察
1~2ヶ月に1度程度の頻度でご来院していただき、経過観察を行います。その際、次回ご来院までの分のアライナーをお渡しします。
ご来院ごとにアライナーの適合、シミュレーション通りに歯の移動が進行しているかを確認します。
微調整が必要な場合は、追加のアライナーを作成し、歯並び、噛み合わせともに良好な状態になるまで治療を継続します。
保定
人の歯並びは一生を通じて変化します。治療後は一番歯が動きやすい時期で何もしないと、治療前の位置にに戻ろうとします。そのため安定するまでの期間は保定装置を装着することでそれを防ぐ必要があります。 保定装置は患者さまの歯の状態に合わせて選択します。前歯の裏側にワイヤーを装着するタイプや可動式(取り外し可能)のものがあります。保定装置を装着する期間は約2年程度なります。
無料でカウンセリング
お問合せマウスピース矯正治療プラン
plan
インビザライン ファースト
乳歯と永久歯が混在している時期のお子様に対応したマウスピース矯正です。
全額561,000円
※保定装置・調整料込み
インビザライン ライト
軽度の症例に適応したパッケージ。追加できる回数、使用するアライナーの数量に制限があります。
全額451,000円
※保定装置・調整料込み
インビザライン モデレート
軽度から中等度の症例に適応したパッケージ。追加できる回数、使用するアライナーの数量に制限があります。
全額638,000円
※保定装置・調整料込み
インビザライン フル
製作できるアライナーの数量や治療期間に制限がなく、部分的、短期的な治療では治すことが難しい場合はこちらをおすすめします。
全額891,000円
※保定装置・調整料込み
インビザライン ヘビー
便宜抜歯、アンカースクリューの使用を伴うような難症例に対応したパッケージプラン。
全額1,111,000円
※保定装置・調整料込み
アクセス・診療案内
access / guidance
受付時間
| 受付時間 | 月 | 火 | 水 | 木 | 金 | 土 | 日 |
|---|---|---|---|---|---|---|---|
| 10:00~13:30 | ● | ● | ● | ー | ● | ● | ー |
| 14:30~19:00 | ● | ● | ● | ー | ● | ー | ー |
※休診日:木・土午後・日・祝
※最終受付は終了の30分前となっております
※急患随時受付中 ※健康保険取り扱い
お問合せ
contact
お問合せ、ご予約、歯に関するご相談なんでも気軽にご相談ください。
電話、web(フォーム)どちらもOK。
